La infección por el coronavirus COVID-19, identificada inicialmente en diciembre de 2019 en Wuhan (China), es una enfermedad emergente con un rápido aumento en el número de pacientes infectados en todo el mundo. No se dispone de muchos datos sobre cómo afecta durante el embarazo; sin embargo, sí que existe información de infección por otros coronavirus altamente patógenos como son el síndrome respiratorio agudo severo (SARS) o el síndrome respiratorio de Oriente Medio (MERS) durante el embarazo1. Así se sabe que la tasa de mortalidad de la infección por SARS era del 10% en la población general y hasta el 25% en mujeres embarazadas, sin demostrar transmisión intrauterina2.
Nuestra paciente de 44 años, gestante de 29+2 semanas, sin antecedentes patológicos de interés, sin viajes recientes ni contacto con pacientes infectados conocidos, acudió al centro por cuadro de 12 días de evolución que consistía en odinofagia, tos seca y, en los últimos días, fiebre de 39,5°C.
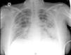
Exploración obstétrica normal. Se le realizó PCR de COVID-19 que resultó ser positiva. En la analítica destacaba: 20.900 leucocitos (98% de PMN), linfopenia 200, dímero D 578ng/ml, PCR 28mg/dl, LDH 223U/l y procalcitonina 5,33ng/ml. Desde el punto de vista respiratorio con unas cánulas nasales a 3l tenía una PO2 de 140mmHg. En la radiografía de tórax se apreciaban infiltrados pulmonares bilaterales multilobares con patrón intersticio-alveolar, con consolidaciones alveolares en el lóbulo superior izquierdo, pinzamiento de senos costofrénicos y engrosamiento cisural derecho por derrame pleural de leve cuantía (fig. 1).
Se comienza tratamiento con lopinavir/ritonavir, cloroquina, ceftriaxona y azitromicina. A las 48h la paciente se encuentra más taquipneica y, en pocas horas, empeora su mecánica respiratoria con acidosis respiratoria e hipoxemia severa y precisa intubación orotraqueal y conexión a ventilación mecánica.
En vista del empeoramiento clínico se contacta con ginecología que decide comenzar la maduración pulmonar del feto mediante 2 dosis, separadas por 12h, de 12mg de betametasona. A las 24h se lleva a cabo la cesárea dentro del box de la UCI sin complicaciones para la madre ni para el hijo, descartándose en este la infección por COVID-19. En días sucesivos hay una mejoría progresiva de la oxigenación, comenzando proceso de weaning.
Esta paciente tuvo una evolución satisfactoria, lo que también corroboran varios estudios publicados durante esta pandemia sobre COVID-19. Un estudio con 38 mujeres embarazadas e infectadas con este virus demostró que el pronóstico materno era mucho mejor que con coronavirus anteriores, ya que ninguna murió ni se produjeron casos de transmisión intrauterina al feto3. En otro, con 9 pacientes gestantes con neumonía por COVID-19, los autores describen la similitud clínica con las reportadas para pacientes adultas no embarazadas, no encontrando, en ningún caso, transmisión vertical4.
En otra investigación con 15 pacientes se observó que el embarazo y el parto no agravaron el curso de la sintomatología que, en todos los casos, fue leve con una recuperación satisfactoria5. Por último, otro estudio con 16 gestantes recomienda que, si hay una indicación de cirugía obstétrica, o la propia enfermedad crítica de COVID-19, la interrupción oportuna del embarazo no aumentará el riesgo de nacimiento prematuro y anoxia del recién nacido, siendo beneficioso para el tratamiento de la neumonía materna. En ningún caso, al igual que los autores anteriores, no encontraron en los neonatos el COVID-196.
Por tanto, hasta ahora, no hay evidencia de que este coronavirus tenga un comportamiento diferente en mujeres embarazadas a la de la población general, ni de que exista transmisión materno-fetal. Con todos estos estudios, el 5 de febrero del 2020 se llevó a cabo una reunión de expertos, chinos y norteamericanos, que elaboraron una serie de recomendaciones específicas para el manejo de mujeres embarazadas y neonatos nacidos de madres con infección sospechada o confirmada por coronavirus (COVID-19)7. De este encuentro se publicaron una serie de recomendaciones, con mayor o menor grado de evidencia clínica, entre las cuales podemos destacar:
- -
Las mujeres embarazadas con sospecha de infección por COVID-19 podrían someterse a exámenes de imagen pulmonar (Rx, TC) y prueba diagnóstica de COVID-19 lo antes posible.
- -
Se debe hospitalizar e ingresar, a ser posible en habitaciones con presión negativa, a mujeres embarazadas que tienen un COVID-19 sospechoso o confirmado.
- -
El momento del parto debe ser individualizado, basándose en el bienestar materno-fetal, la edad gestacional y otras condiciones concomitantes, no solo porque la paciente embarazada esté infectada. Además, se debe permitir el parto vaginal cuando sea posible y reservar la cesárea para cuando sea obstétricamente necesario.
- -
Es razonable considerar la analgesia regional en las mujeres embarazadas con infección por COVID-19 que necesitan una cesárea, siempre y cuando la función respiratoria lo permita. Si no, la anestesia general es mucho más segura.
- -
Actualmente no se puede afirmar si hay transmisión vertical desde de la madre al feto, aunque haya algunos casos publicados que no han mostrado evidencia de transmisión vertical en pacientes con infección por COVID-19 en el último trimestre del embarazo. De todas formas se recomienda mantener a los recién nacidos aislados durante al menos 14 días y, durante este período, no se recomienda la lactancia materna directa.
Es probable que estas recomendaciones evolucionen como el curso de esta nueva enfermedad.





