The COVID-19 coronavirus infection, first identified in December 2019 in Wuhan (China), is an emerging disease that has seen a rapid increase in the number of infected patients worldwide. Not much data are available on how it affects pregnancy. However, there is information on infection by other highly pathogenic coronaviruses, such as severe acute respiratory syndrome (SARS) or Middle East respiratory syndrome (MERS), during pregnancy.1 Thus, it is known that the mortality rate of SARS infection was 10% in the general population and up to 25% in pregnant women, with no intrauterine transmission demonstrated.2
Our 44-year-old patient was 29+2 weeks pregnant, did not have any pathological medical history of interest, and had had no recent travel or contact with known infected patients. She came to the center for symptoms that had been ongoing for 12 days that consisted of odynophagia, dry cough, and, in recent days, fever of 39.5°C.
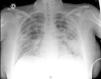
The obstetric examination was normal. A COVID-19 PCR was performed, which was positive. On the blood test, of note were leukocytes 20,900 (98% PMN), lymphopenia with lymphocytes 200, d-dimer 578ng/ml, CRP 28mg/dl, LDH 223U/l, and procalcitonin 5.33ng/ml. From a respiratory point of view, with oxygen via nasal cannula at 3L, she had a PO2 of 140mmHg. On the chest X-ray, multilobar bilateral pulmonary infiltrates with an interstitial-alveolar pattern were observed, with alveolar consolidation in the left upper lobe, blunting of the costophrenic angles, and right fissural thickening due to a small amount of pleural effusion (Fig. 1).
Treatment was started with lopinavir/ritonavir, chloroquine, ceftriaxone, and azithromycin. At 48h, the patient was more tachypneic and, in a few hours, her mechanics of breathing worsened with respiratory acidosis and severe hypoxemia. She required orotracheal intubation and connection to mechanical ventilation.
In light of the clinical deterioration, the gynecology department was contacted, which decided to start fetal lung maturation by means of two 12-mg doses of betamethasone separated by 12h. At 24h, a cesarean section was performed in the ICU box without complications for the mother or the child. COVID-19 infection was ruled out in the child. In the following days, there was a progressive improvement in oxygenation and the weaning process was begun.
This patient had satisfactory progress, which is also corroborated by various studies on COVID-19 published during this pandemic. A study of 38 pregnant women infected with the virus demonstrated that maternal prognosis was much better than in previous coronaviruses; none died nor were there any cases of intrauterine transmission to the fetus.3 In another study on nine pregnant patients with pneumonia due to COVID-19, the authors described the clinical similarity to cases reported in nonpregnant adult patients. No cases of vertical transmission were found.4
In another study on 15 patients, it was observed that pregnancy and birth did not worsen the course of symptoms, which was mild with a satisfactory recovery in all cases.5 Lastly, another study on 16 pregnant women recommended that if there is an indication for obstetric surgery or if there is critical COVID-19 disease, the voluntary interruption of the pregnancy will not increase the newborn's risk of premature birth or anoxia and is beneficial for the treatment of the mother's pneumonia. Like the above authors, they found no cases of COVID-19 among the neonates.6
Therefore, to date, there is no evidence that this coronavirus behaves differently in pregnant women than in the general population nor is there evidence of maternal-fetal transmission. With all of these studies, on February 5, 2020, a meeting of Chinese and North American experts was held in which they drafted a series of specific recommendations for the management of pregnant women and neonates born to mothers with suspected or confirmed coronavirus (COVID-19) infection.7 As a result of that meeting, a set of recommendations, supported by a greater or lesser degree of clinical evidence, was published. Of these, the following are of note:
- -
Pregnant women with suspected COVID-19 infection may undergo lung imaging tests (X-ray, CT scan) and COVID-19 diagnostic testing as soon as possible.
- -
Pregnant women who have suspected or confirmed COVID-19 must be hospitalized, if possible, in negative-pressure rooms.
- -
The time of the birth must be decided on an individual basis based on maternal-fetal well-being, gestational age, and other concomitant conditions, not just because the pregnant patient is infected. In addition, vaginal birth must be permitted when possible and cesarean section must be reserved for when it is obstetrically necessary.
- -
It is reasonable to consider regional anesthesia in pregnant women with COVID-19 infection who need a cesarean section, provided that respiratory function allows for it. If not, general anesthesia is much safer.
- -
Currently, it cannot be affirmed if there is vertical transmission from the mother to the fetus, although there have been some published cases that have not shown evidence of vertical transmission in patients with COVID-19 infection in the last trimester of pregnancy. In any case, it is recommended that the newborns be isolated for at least 14 days and, during this period, direct breastfeeding is not recommended.
It is likely that these recommendations will evolve along with the course of this new disease.
Please cite this article as: González Romero D, Ocampo Pérez J, González Bautista L, Santana-Cabrera L. Pronóstico perinatal y de la paciente embarazada con infección por COVID-19. Rev Clin Esp. 2020;220:533–534.





