Suggestions
Share
Journal Information
Vol. 218. Issue 4.
Pages 208-209 (May 2018)
Vol. 218. Issue 4.
Pages 208-209 (May 2018)
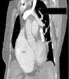
Medicina en imágenes
Una causa atípica de hipertensión pulmonar en el anciano
An atypical cause of pulmonary hypertension in the elderly
Visits
192
C. Jorge-Rippera,
Corresponding author
cjripper@hotmail.com

Autor para correspondencia.
, P. Vega-Ocañab
a Servicio de Medicina Interna, Complejo Hospitalario Materno-Insular de Gran Canaria, Las Palmas de Gran Canaria, Las Palmas, España
b Servicio de Medicina Intensiva, Complejo Hospitalario Materno-Insular de Gran Canaria, Las Palmas de Gran Canaria, Las Palmas, España
This item has received
Article information
Full Text
Download PDF
Statistics
Figures (1)

Article

These are the options to access the full texts of the publication Revista Clínica Española (English Edition)
Member
Si es usted socio de FESEMI siga los siguientes pasos:

Diríjase desde aquí a la web de la >>>FESEMI<<< e inicie sesión mediante el formulario que se encuentra en la barra superior, pulsando sobre el candado.

Una vez autentificado, en la misma web de FESEMI, en el menú superior, elija la opción deseada.

>>>FESEMI<<<

Subscriber
Subscriber

If you already have your login data, please click here .

If you have forgotten your password you can you can recover it by clicking here and selecting the option “I have forgotten my password”
Subscribe
Subscribe to

Revista Clínica Española (English Edition)

Purchase
Purchase article

Purchasing article the PDF version will be downloaded

Purchase now
Contact
Phone for subscriptions and reporting of errors
From Monday to Friday from 9 a.m. to 6 p.m. (GMT + 1) except for the months of July and August which will be from 9 a.m. to 3 p.m.
Calls from Spain
932 415 960
Calls from outside Spain
+34 932 415 960
Email
Idiomas
Revista Clínica Española (English Edition)
Article options
Tools