Suggestions
Share
Journal Information
Vol. 203. Issue 12.
Pages 599-600 (December 2003)
Share
Download PDF
More article options
Vol. 203. Issue 12.
Pages 599-600 (December 2003)
Mujer de 49 años con fiebre y esplenomegalia
A 49-year-old woman with fever and splenomegaly
Visits
541
R. Pacheco Cuadrosa, R. Diazaraque Marína, J F. Pascual Parejaa, P L. Martínez Hernándeza, L. Gorospe Sarasuab, A. Sendino Revueltaa
a Servicios de Medicina Interna. Hospital Universitario La Paz. Universidad Autónoma. Madrid.
b Servicios de Radiodiagnóstico. Hospital Universitario La Paz. Universidad Autónoma. Madrid.
This item has received
Article information
Full Text
Bibliography
Download PDF
Statistics
Tables (4)
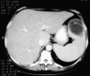
Fig. 1.
Tables
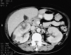
Fig. 2.
Tables
Fig. 3.
Tables
Fig. 4.
Tables
Show moreShow less

Article

These are the options to access the full texts of the publication Revista Clínica Española (English Edition)
Member
Si es usted socio de FESEMI siga los siguientes pasos:

Diríjase desde aquí a la web de la >>>FESEMI<<< e inicie sesión mediante el formulario que se encuentra en la barra superior, pulsando sobre el candado.

Una vez autentificado, en la misma web de FESEMI, en el menú superior, elija la opción deseada.

>>>FESEMI<<<

Subscriber
Subscriber

If you already have your login data, please click here .

If you have forgotten your password you can you can recover it by clicking here and selecting the option “I have forgotten my password”
Subscribe
Subscribe to

Revista Clínica Española (English Edition)

Purchase
Purchase article

Purchasing article the PDF version will be downloaded

Purchase now
Contact
Phone for subscriptions and reporting of errors
From Monday to Friday from 9 a.m. to 6 p.m. (GMT + 1) except for the months of July and August which will be from 9 a.m. to 3 p.m.
Calls from Spain
932 415 960
Calls from outside Spain
+34 932 415 960
Email
Idiomas
Revista Clínica Española (English Edition)
Article options
Tools