Suggestions
Share
Journal Information
Vol. 215. Issue 5.
Pages e35-e38 (June - July 2015)
Share
Download PDF
More article options
Vol. 215. Issue 5.
Pages e35-e38 (June - July 2015)
Comunicaciones clínicas
Isquemia digital como forma de presentación de granulomatosis con poliangeítis
Digital ischemia as a presentation of granulomatosis with polyangiitis
Visits
1361
E. Ocaña-Péreza,
Corresponding author
eocanap@gmail.com

Autor para correspondencia.
, M. Polaina-Rusillob, M.I. Aceituno-Azaustrea, J. Borrego-Hinojosab, M.P. Pérez-del Barriob, R. Luque-Baronac
a Unidad de Gestión Clínica Laboratorio, Área Inmunología, Complejo Hospitalario de Jaén, Jaén, España
b Unidad de Gestión Clínica Nefrología, Complejo Hospitalario de Jaén, Jaén, España
c Unidad de Gestión Clínica Anatomía Patológica, Complejo Hospitalario de Jaén, Jaén, España
This item has received
Article information
Full Text
Bibliography
Download PDF
Statistics
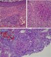
Figures (2)

Article

These are the options to access the full texts of the publication Revista Clínica Española (English Edition)
Member
Si es usted socio de FESEMI siga los siguientes pasos:

Diríjase desde aquí a la web de la >>>FESEMI<<< e inicie sesión mediante el formulario que se encuentra en la barra superior, pulsando sobre el candado.

Una vez autentificado, en la misma web de FESEMI, en el menú superior, elija la opción deseada.

>>>FESEMI<<<

Subscriber
Subscriber

If you already have your login data, please click here .

If you have forgotten your password you can you can recover it by clicking here and selecting the option “I have forgotten my password”
Subscribe
Subscribe to

Revista Clínica Española (English Edition)

Purchase
Purchase article

Purchasing article the PDF version will be downloaded

Purchase now
Contact
Phone for subscriptions and reporting of errors
From Monday to Friday from 9 a.m. to 6 p.m. (GMT + 1) except for the months of July and August which will be from 9 a.m. to 3 p.m.
Calls from Spain
932 415 960
Calls from outside Spain
+34 932 415 960
Email
Idiomas
Revista Clínica Española (English Edition)
Article options
Tools