Suggestions
Share
Journal Information
Vol. 204. Issue 4.
Pages 206-211 (April 2004)
Share
Download PDF
More article options
Vol. 204. Issue 4.
Pages 206-211 (April 2004)
Insuficiencia renal aguda por consumo de cocaína
Acute renal insufficiency associated to cocaine consumption
Visits
2164
D de Mendoza Asensia, A. Rodríguez Jorneta, A. Carvajal Díazb, F J. Andreu Navarroc, M. Sala Rodód, M. Cervantes Garcíad
a Unidad de Nefrología. Corporación Sanitaria Parc Taulí. Sabadell.
b Unidad de Diagnóstico por Imagen de Alta Tecnología (UDIAT). Corporación Sanitaria Parc Taulí. Sabadell.
c Servicio de Patología. Corporación Sanitaria Parc Taulí. Sabadell.
d Unidad de Medicina Interna. Corporación Sanitaria Parc Taulí. Sabadell.
This item has received
Article information
Abstract
Full Text
Bibliography
Download PDF
Statistics
Figures (1)
Tables (2)
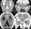
Fig. 2. La tomografía computarizada (TC) (imágenes superiores) evidencia lesiones isquemicoedematosas cerebelosas bilaterales (flechas), con comportamiento pseudotumoral y probable componente hemorrágico en el hemisferio izquierdo. A nivel supratentorial se constata una dilatación ventricular hidrocefálica (*) y una baja atenuación mal definida bioccipital. La resonancia magnética (RM) (imágenes inferiores) confirma y caracteriza con mayor sensibilidad estas lesiones isquemicoedematosas bilaterales occipitocerebelosas (caso 3).
Tables
TABLA 1. Afectación renal por consumo de cocaína
Tables
Show moreShow less
La insuficiencia renal aguda secundaria al consumo de cocaína es bien conocida y normalmente condicionada por rabdomiólisis. La posibilidad de que el fracaso renal esté relacionado con hipertensión arterial y con hallazgos histológicos renales indistinguibles de cualquier otro cuadro de hipertensión arterial maligna es un hecho no tan bien conocido. Ciertos derivados de la cocaína son potentes inductores de vasoespasmo, lo que sería la clave del origen de las lesiones isquémicas que se producen no tan sólo a nivel renal, sino sistémico, y especialmente también neurológico. Presentamos 4 pacientes afectos de insuficiencia renal aguda, dos de ellos por hipertensión arterial maligna, otro por consumo de cocaína con lesiones neurológicas isquémicas muy severas, pero reversibles con la retirada de la droga, y el cuarto por rabdomiólisis. Los 4 tuvieron una evolución diferente probablemente relacionada con el distinto hábito de consumo, y tal vez a consecuencia de distintos derivados de la cocaína.
Palabras clave:
insuficiencia renal aguda, intoxicación por cocaína
Acute renal insufficiency associated to cocaine consumption is well known, and normally secondary to rhabdomyolisis. The possibility that renal failure is related to hypertension and to renal histopathological findings indistinguishable of other malignant hypertension conditions is a not as well known fact. Certain derivatives of cocaine are powerful vasospasm inducers, which could be the key of the origin of the ischemic lesions that appears not only in the kidney but in other organs, especially in the nervous system. We present four patients with acute renal insufficiency, two of them because of malignant hypertension, another one because of cocaine consumption with very severe ischemic neurological lesions, but reversible with the withdrawal of the drug, and another one because of rhabdomyolisis. The latest patient had a different evolution probably related to the different habit of consumption and perhaps as a consequence of different derivatives of cocaine.
Keywords:
acute renal insufficiency, cocaine poisoning

Article

These are the options to access the full texts of the publication Revista Clínica Española (English Edition)
Member
Si es usted socio de FESEMI siga los siguientes pasos:

Diríjase desde aquí a la web de la >>>FESEMI<<< e inicie sesión mediante el formulario que se encuentra en la barra superior, pulsando sobre el candado.

Una vez autentificado, en la misma web de FESEMI, en el menú superior, elija la opción deseada.

>>>FESEMI<<<

Subscriber
Subscriber

If you already have your login data, please click here .

If you have forgotten your password you can you can recover it by clicking here and selecting the option “I have forgotten my password”
Subscribe
Subscribe to

Revista Clínica Española (English Edition)

Purchase
Purchase article

Purchasing article the PDF version will be downloaded

Purchase now
Contact
Phone for subscriptions and reporting of errors
From Monday to Friday from 9 a.m. to 6 p.m. (GMT + 1) except for the months of July and August which will be from 9 a.m. to 3 p.m.
Calls from Spain
932 415 960
Calls from outside Spain
+34 932 415 960
Email
Idiomas
Revista Clínica Española (English Edition)
Article options
Tools