Suggestions
Share
Journal Information
Vol. 214. Issue 2.
Pages 111-112 (March 2014)
Share
Download PDF
More article options
Vol. 214. Issue 2.
Pages 111-112 (March 2014)
Correspondencia
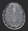
Hematoma subdural bilateral secundario a punción lumbar diagnóstica
Bilateral subdural hematoma after diagnostic lumbar puncture
Visits
3368
Á. Peña-Irúna,
Corresponding author
alvaro290475@hotmail.com

Autor para correspondencia.
, A.R. González-Santamaríab
a Centro de Salud El Sardinero, Santander, España
b Servicio de urgencias extrahospitalarias 061, España
This item has received
Article information
Full Text
Bibliography
Download PDF
Statistics
Figures (1)

Article

These are the options to access the full texts of the publication Revista Clínica Española (English Edition)
Member
Si es usted socio de FESEMI siga los siguientes pasos:

Diríjase desde aquí a la web de la >>>FESEMI<<< e inicie sesión mediante el formulario que se encuentra en la barra superior, pulsando sobre el candado.

Una vez autentificado, en la misma web de FESEMI, en el menú superior, elija la opción deseada.

>>>FESEMI<<<

Subscriber
Subscriber

If you already have your login data, please click here .

If you have forgotten your password you can you can recover it by clicking here and selecting the option “I have forgotten my password”
Subscribe
Subscribe to

Revista Clínica Española (English Edition)

Purchase
Purchase article

Purchasing article the PDF version will be downloaded

Purchase now
Contact
Phone for subscriptions and reporting of errors
From Monday to Friday from 9 a.m. to 6 p.m. (GMT + 1) except for the months of July and August which will be from 9 a.m. to 3 p.m.
Calls from Spain
932 415 960
Calls from outside Spain
+34 932 415 960
Email
Idiomas
Revista Clínica Española (English Edition)
Article options
Tools