Suggestions
Share
Journal Information
Vol. 203. Issue 11.
Pages 555-556 (November 2003)
Share
Download PDF
More article options
Vol. 203. Issue 11.
Pages 555-556 (November 2003)
Fiebre prolongada y dolor costal derecho en paciente con antecedentes de brucelosis
Prolonged fever and right costal pain in patient with a history of brucellosis
Visits
185
J M. Villar del Morala, M T. Villegas Herreraa, M J. Álvarez Martína, J M. Ramia Ángela, D. Garrote Laraa, J A. Ferrón Orihuelaa
a Servicio de Cirugía General y Digestiva. Hospital Universitario Virgen de las Nieves. Granada.
This item has received
Article information
Full Text
Bibliography
Download PDF
Statistics
Tables (4)
Fig. 1. Ecografía abdominal. Lesión de contenido líquido y nódulo central hiperecogénico con sombra acústica en lóbulo hepático derecho.
Tables
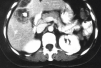
Fig. 2. Tomografía axial computarizada (TAC). Lesión hipodensa con varias loculaciones y nódulo calcificado central en segmento V hepático.
Tables
Fig. 3. Imagen macroscópica de la pieza operatoria abierta. Se puede apreciar el nódulo calcificado central.
Tables
Fig. 4. Hematoxilina-eosina 40x. Granuloma con necrosis central y anillo de células epitelioides rodeadas por linfocitos y células gigantes.
Tables
Show moreShow less

Article

These are the options to access the full texts of the publication Revista Clínica Española (English Edition)
Member
Si es usted socio de FESEMI siga los siguientes pasos:

Diríjase desde aquí a la web de la >>>FESEMI<<< e inicie sesión mediante el formulario que se encuentra en la barra superior, pulsando sobre el candado.

Una vez autentificado, en la misma web de FESEMI, en el menú superior, elija la opción deseada.

>>>FESEMI<<<

Subscriber
Subscriber

If you already have your login data, please click here .

If you have forgotten your password you can you can recover it by clicking here and selecting the option “I have forgotten my password”
Subscribe
Subscribe to

Revista Clínica Española (English Edition)

Purchase
Purchase article

Purchasing article the PDF version will be downloaded

Purchase now
Contact
Phone for subscriptions and reporting of errors
From Monday to Friday from 9 a.m. to 6 p.m. (GMT + 1) except for the months of July and August which will be from 9 a.m. to 3 p.m.
Calls from Spain
932 415 960
Calls from outside Spain
+34 932 415 960
Email
Idiomas
Revista Clínica Española (English Edition)
Article options
Tools