Suggestions
Share
Journal Information
Vol. 221. Issue 7.
Pages 428-429 (August - September 2021)
Vol. 221. Issue 7.
Pages 428-429 (August - September 2021)
CORRESPONDENCIA
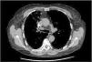
Embolia pulmonar por material de vertebroplastia: otra posible complicación de los asmáticos graves
Pulmonary embolism due to vertebroplasty material: another possible complication of severe asthmatics
Visits
149
E. Martinez-Moragón
Corresponding author
evamartinezmoragon@gmail.com

Autor para correspondencia.
, C. De Juana Izquierdo, L. Dahmazi
Servicio de Neumología, Hospital Universitario Doctor Peset Valencia, Valencia, España
This item has received
Article information
Full Text
Bibliography
Download PDF
Statistics
Figures (1)

Article

These are the options to access the full texts of the publication Revista Clínica Española (English Edition)
Member
Si es usted socio de FESEMI siga los siguientes pasos:

Diríjase desde aquí a la web de la >>>FESEMI<<< e inicie sesión mediante el formulario que se encuentra en la barra superior, pulsando sobre el candado.

Una vez autentificado, en la misma web de FESEMI, en el menú superior, elija la opción deseada.

>>>FESEMI<<<

Subscriber
Subscriber

If you already have your login data, please click here .

If you have forgotten your password you can you can recover it by clicking here and selecting the option “I have forgotten my password”
Subscribe
Subscribe to

Revista Clínica Española (English Edition)

Purchase
Purchase article

Purchasing article the PDF version will be downloaded

Purchase now
Contact
Phone for subscriptions and reporting of errors
From Monday to Friday from 9 a.m. to 6 p.m. (GMT + 1) except for the months of July and August which will be from 9 a.m. to 3 p.m.
Calls from Spain
932 415 960
Calls from outside Spain
+34 932 415 960
Email
Idiomas
Revista Clínica Española (English Edition)
Article options
Tools