Suggestions
Share
Journal Information
Vol. 204. Issue 5.
Pages 287-289 (May 2004)
Share
Download PDF
More article options
Vol. 204. Issue 5.
Pages 287-289 (May 2004)
Bultoma en hipocondrio y vacío izquierdos tras traumatismo casual en parrilla costal izquierda
Left hypochondrium mass after left rib cage accidental injury
Visits
292
A. González Francoa, M J. Barragán Gonzáleza, M D. Macías Roblesb, F. García Ariasc, J. Velasco Alonsod
a Servicios de Medicina Interna. Hospital San Agustín. Avilés. Asturias.
b Servicios de Urgencias. Hospital San Agustín. Avilés. Asturias.
c Servicios de Radiología. Hospital San Agustín. Avilés. Asturias.
d Servicios de Anatomía Patológica. Hospital San Agustín. Avilés. Asturias.
This item has received
Article information
Full Text
Bibliography
Download PDF
Statistics
Tables (5)
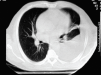
Fig. 1. Derrame pleural izquierdo con atelectasia por comprensión del lóbulo inferior.
Tables
Fig. 2. Gran masa retroperitoneal (cabezas de flecha) que engloba páncreas y estructuras vasculares infiltrando la cámara gástrica y borde medial del bazo. Presenta densidad heterogénea con predominio hipodenso por necrosis. Lesión hipocaptante en bazo (flecha A) compatible con implante tumoral.
Tables
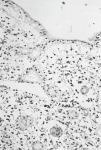
Fig. 3. Proliferación de células de mediano tamaño entre las glándulas de la mucosa gástrica (H&Sx250).
Tables
Fig. 4. Técnicas inmunohistoquímicas con sistema de detección estreptavidina-biotina peroxidasa. Se utilizó como anticuerpo primario antiqueratinas monoclonales de amplio espectro que reaccionaron con el epitelio gástrico. Lás células problema fueron negativas (K A1/AE3x400).
Tables
Fig. 5. Las células neoplásicas reaccionaron positivamente con anticuerpos primarios antilinfocitos T (CD3x400).
Tables
Show moreShow less

Article

These are the options to access the full texts of the publication Revista Clínica Española (English Edition)
Member
Si es usted socio de FESEMI siga los siguientes pasos:

Diríjase desde aquí a la web de la >>>FESEMI<<< e inicie sesión mediante el formulario que se encuentra en la barra superior, pulsando sobre el candado.

Una vez autentificado, en la misma web de FESEMI, en el menú superior, elija la opción deseada.

>>>FESEMI<<<

Subscriber
Subscriber

If you already have your login data, please click here .

If you have forgotten your password you can you can recover it by clicking here and selecting the option “I have forgotten my password”
Subscribe
Subscribe to

Revista Clínica Española (English Edition)

Purchase
Purchase article

Purchasing article the PDF version will be downloaded

Purchase now
Contact
Phone for subscriptions and reporting of errors
From Monday to Friday from 9 a.m. to 6 p.m. (GMT + 1) except for the months of July and August which will be from 9 a.m. to 3 p.m.
Calls from Spain
932 415 960
Calls from outside Spain
+34 932 415 960
Email
Idiomas
Revista Clínica Española (English Edition)
Article options
Tools