Información de la revista
Vol. 204. Núm. 2.
Páginas 95-97 (febrero 2004)
Compartir
Descargar PDF
Más opciones de artículo
Vol. 204. Núm. 2.
Páginas 95-97 (febrero 2004)
Varón de 61 años de edad con infección por virus de la inmunodeficiencia humana, lesiones cutáneas y hemiparesia derecha
61-year-old male with HIV infection, cutaneous lesions, and right hemiparesis
Visitas
146
M J. Menéndez Calderóna, J. Noval Menéndeza, M L. García-Alcalde Fernándeza, E. Rodríguez Díazb
a Servicios de Medicina Interna. Hospital de Cabueñes. Gijón. Asturias.
b Servicios de Dermatología. Hospital de Cabueñes. Gijón. Asturias.
Este artículo ha recibido
Información del artículo
Texto completo
Bibliografía
Descargar PDF
Estadísticas
Tablas (4)
Fig. 1. Lesiones cutáneas en la palma de la mano.
Tablas
Fig. 2. Lesiones cutáneas en la planta del pie.
Tablas
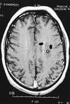
Fig. 3. Resonancia magnética nuclear (RMN) cerebral.
Tablas
Fig. 4. Angiorresonancia magnética nuclear (RMN) cerebral.
Tablas
Mostrar másMostrar menos

Artículo

Opciones para acceder a los textos completos de la publicación Revista Clínica Española
Socio
Si es usted socio de FESEMI siga los siguientes pasos:

Diríjase desde aquí a la web de la >>>FESEMI<<< e inicie sesión mediante el formulario que se encuentra en la barra superior, pulsando sobre el candado.

Una vez autentificado, en la misma web de FESEMI, en el menú superior, elija la opción deseada.

>>>FESEMI<<<

Suscriptor
Suscriptor de la revista

Si ya tiene sus datos de acceso, clique aquí.

Si olvidó su clave de acceso puede recuperarla clicando aquí y seleccionando la opción "He olvidado mi contraseña".
Suscribirse
Suscribirse a:

Revista Clínica Española

Comprar
Comprar acceso al artículo

Comprando el artículo el PDF del mismo podrá ser descargado

Comprar ahora
Contactar
Teléfono para suscripciones e incidencias
De lunes a viernes de 9h a 18h (GMT+1) excepto los meses de julio y agosto que será de 9 a 15h
Llamadas desde España
932 415 960
Llamadas desde fuera de España
+34 932 415 960
Email
Idiomas
Revista Clínica Española
Opciones de artículo
Herramientas
es en

¿Es usted profesional sanitario apto para prescribir o dispensar medicamentos?

Are you a health professional able to prescribe or dispense drugs?