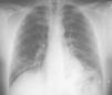
La neumonía eosinófila crónica (NEC) es una entidad poco frecuente. Evoluciona de forma subaguda o crónica. Los síntomas incluyen disnea, tos, pérdida de peso y fiebre. La eosinofilia es característica. Radiológicamente cursa con infiltrados alveolares periféricos de predominio en lóbulos superiores. El tratamiento se basa en corticoids durante 6-8 meses.
Material y métodosAnalizamos retrospectivamente los casos incidentes de NEC en el área de salud de Soria durante el período 1995-2004, haciendo referencia a sus características clínicas, diagnóstico y tratamiento.
ResultadosSe diagnosticaron en nuestro centro un total de 5 casos de NEC. La edad media de los pacientes fue de 57 años. Todos presentaron síntomas de la enfermedad durante meses antes del diagnóstico. El síndrome febril, la tos y la astenia fueron los síntomas más frecuentes. La eosinofilia periférica fue superior al 6% en todos los casos. Ocurrieron recidivas en dos de los pacientes.
ConclusionesLa NEC es una enfermedad infrecuente que precisa para su diagnóstico del hallazgo de eosinofilia, ya sea periférica o pulmonar. Una clínica típica, con infiltrados alveolares en la radiografía de tórax y eosinofilia periférica, debe hacer pensar en el diagnóstico de NEC, aunque para confirmarlo sea necesario el lavado broncoalveolar (LBA) y en ocasiones la realización de biopsia pulmonar. El tratamiento debe mantenerse al menos 6 meses. Son frecuentes las recidivas.
Chronic eosinophilic pneumonia (NEC) is a rare disease that has a subacute or chronic course. Symptoms include shortness of breath, coughing, weight loss and fever. The eosinophilia is characteristic. Radiologically, peripheral alveolar infiltrates with predominance in the upper lobes are found. Treatment is based on corticosteroids for 6-8 months.
Material and methodsWe performed a retrospective analysis on the incident cases of NEC in the health care area of Soria during the period of 1995 to 2004, considering their clinical features, diagnosis and treatment.
ResultsA total of 5 cases of NEC were diagnosed in our center. Average age of patients was 57 years. Every case showed symptoms of the disease for months before diagnosis, the most frequent being fever, cough and fatigue. Peripheral eosinophilia was higher than 6% in all the cases. Recurrences occurred in two patients.
ConclusionsNEC is a rare disease that requires the finding of either peripheral or pulmonary eosinophilia for its diagnosis. A typical symptom with alveolar infiltrates observed on a chest X-ray and peripheral eosinophilia suggests a NEC diagnosis, although this must be confi rmed by the bronchoalveolar lavage (LBA) a lung biopsy may be necessary. Treatment must be maintained for at least 6 months. Relapses are frequent.
Artículo
Diríjase desde aquí a la web de la >>>FESEMI<<< e inicie sesión mediante el formulario que se encuentra en la barra superior, pulsando sobre el candado.

Una vez autentificado, en la misma web de FESEMI, en el menú superior, elija la opción deseada.

>>>FESEMI<<<






