Información de la revista
Vol. 203. Núm. 6.
Páginas 284-286 (junio 2003)
Compartir
Descargar PDF
Más opciones de artículo
Vol. 203. Núm. 6.
Páginas 284-286 (junio 2003)
Neumonía de la comunidad por Acinetobacter baumannii
Community-acquired Acinetobacter baumannii pneumonia
Visitas
1065
J. Salas Coronasa, T. Cabezas Fernándezb, R. Álvarez-Ossorio García de Soriac, F. Díez Garcíaa
a Servicio de Medicina Interna. Hospital de Poniente. El Ejido. Almería.
b Laboratorio de Biotecnología. Hospital de Poniente. El Ejido. Almería.
c Servicio de Prevención. Hospital de Poniente. El Ejido. Almería.
Este artículo ha recibido
Información del artículo
Resumen
Texto completo
Bibliografía
Descargar PDF
Estadísticas
Tablas (2)
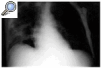
Fig. 1. Neumonía bilobar con cavitación en lóbulo inferior derecho correspondiente al paciente del caso 1.
Tablas
Fig. 2. Neumonía en lóbulo superior derecho cavitada correspondiente al paciente del caso 2.
Tablas
Mostrar másMostrar menos
Fundamento. Describir dos casos de neumonía adquirida en la comunidad por Acinetobacter baumannii. Pacientes y métodos. Se trata de dos pacientes, uno con antecedentes de diabetes mellitus tipo 2 y tromboembolismo pulmonar dos años antes, y el segundo sin factores de riesgo conocidos salvo la edad, ingresados por neumonía adquirida en la comunidad por A. baumannii, que desarrollaron cavitación, con evolución final favorable. Conclusión. El A. baumannii es una causa infrecuente de neumonía de la comunidad, aunque debe ser tomado en consideración en pacientes con situaciones de base debilitantes y que no evolucionan de forma favorable en los primeros días del ingreso con tratamiento convencional.
Palabras clave:
neumonía de la comunidad, Acinetobacter baumannii
Objectives. Description of two cases of community-acquired Acinetobacter baumannii pneumonia. Patients and methods. Two patients, one with a history of diabetes mellitus type 2 and pulmonary thromboembolism 2 years earlier and the second without known risk factors except for the age, were admitted to hospital because of community-acquired A. baumannii pneumonia with cavitation and with favorable final evolution. Conclusion. A. baumannii is an infrequent cause of community-acquired pneumonia, although it should be suspected in patients with debilitating illness and in patients who do not evolve favorably on the first days of the admission with conventional treatment.
Keywords:
community-acquired pneumonia, Acinetobacter baumannii

Artículo

Opciones para acceder a los textos completos de la publicación Revista Clínica Española
Socio
Si es usted socio de FESEMI siga los siguientes pasos:

Diríjase desde aquí a la web de la >>>FESEMI<<< e inicie sesión mediante el formulario que se encuentra en la barra superior, pulsando sobre el candado.

Una vez autentificado, en la misma web de FESEMI, en el menú superior, elija la opción deseada.

>>>FESEMI<<<

Suscriptor
Suscriptor de la revista

Si ya tiene sus datos de acceso, clique aquí.

Si olvidó su clave de acceso puede recuperarla clicando aquí y seleccionando la opción "He olvidado mi contraseña".
Suscribirse
Suscribirse a:

Revista Clínica Española

Comprar
Comprar acceso al artículo

Comprando el artículo el PDF del mismo podrá ser descargado

Comprar ahora
Contactar
Teléfono para suscripciones e incidencias
De lunes a viernes de 9h a 18h (GMT+1) excepto los meses de julio y agosto que será de 9 a 15h
Llamadas desde España
932 415 960
Llamadas desde fuera de España
+34 932 415 960
Email
Idiomas
Revista Clínica Española
Opciones de artículo
Herramientas
es en

¿Es usted profesional sanitario apto para prescribir o dispensar medicamentos?

Are you a health professional able to prescribe or dispense drugs?