Información de la revista
Vol. 203. Núm. 7.
Páginas 343-345 (julio 2003)
Compartir
Descargar PDF
Más opciones de artículo
Vol. 203. Núm. 7.
Páginas 343-345 (julio 2003)
Linfadenitis histiocítica necrotizante de Kikuchi
Kikuchi's histiocytic necrotizing lymphadenitis
Visitas
1206
G. Eroles Vegaa, C. Vicente Martína, J J. Jusdado Ruiz-Capillasa, M. Guijarro Rojasb, C. Lacambra Calveta, F. Burgos Lázarob, J. Solís Villaa
a Servicio de Medicina Interna. Hospital Severo Ochoa. Leganés. Madrid.
b Servicio de Anatomía Patológica. Hospital Severo Ochoa. Leganés. Madrid.
Este artículo ha recibido
Información del artículo
Resumen
Texto completo
Bibliografía
Descargar PDF
Estadísticas
Tablas (3)
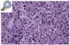
Fig. 1. Histiocitos de aspecto espumoso con restos nucleares (cariorrexis).
Tablas
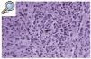
Fig. 2. Histiocitos en anillo de sello. Monocitos plasmocitoides.
Tablas
TABLA 1. Diagnóstico diferencial de la linfadenitis histiocítica necrotizante
Tablas
Mostrar másMostrar menos
La linfadenitis histiocítica necrotizante (LHN) o enfermedad de Kikuchi-Fujimoto es una entidad anatomoclínica poco frecuente; afecta preferentemente a mujeres jóvenes e individuos de razas orientales y se caracteriza por fiebre, adenopatías preferentemente cervicales, afectación sistémica y, ocasionalmente, extraganglionar. Se presentan dos casos de LHN en mujeres jóvenes con afectación cutánea y en uno de los casos con meningitis linfocitaria. Se discuten los aspectos etiológicos, la relación de la LHN con las enfermedades colágeno-vasculares (fundamentalmente el lupus eritematoso sistémico [LES]), los problemas del diagnóstico anatomopatológico y las posibilidades terapéuticas.
Palabras clave:
linfadenitis histiocítica necrotizante, enfermedad de Kikuchi-Fujimoto, adenopatías, meningitis linfocitaria, enfermedades colágeno-vasculares, LES
Necrotizing histiocytic lymphadenitis (NHL) or Kikuchi-Fujimoto disease is an infrequent seen clinicopathologic entity that affects most frequently young women and individuals of eastern races, and that is characterized by fever and adenopathies (basically cervical) and systemic disease even though occasional patients present extranodal disease. We present two young women with NHL and cutaneous affectation, and with lymphocytic meningitis in one of the patients. We discuss the etiology of NHL, the relation of NHL with collagen-vascular diseases (basically systemic erythematous lupus) the problem of the pathologic diagnosis, and the therapeutic possibilities in these patients.
Keywords:
necrotizing histiocytic lymphadenitis, Kikuchi-Fujimoto disease, adenopathies, lymphocytic meningitis, diseases collagen-vascular diseases, SLE

Artículo

Opciones para acceder a los textos completos de la publicación Revista Clínica Española
Socio
Si es usted socio de FESEMI siga los siguientes pasos:

Diríjase desde aquí a la web de la >>>FESEMI<<< e inicie sesión mediante el formulario que se encuentra en la barra superior, pulsando sobre el candado.

Una vez autentificado, en la misma web de FESEMI, en el menú superior, elija la opción deseada.

>>>FESEMI<<<

Suscriptor
Suscriptor de la revista

Si ya tiene sus datos de acceso, clique aquí.

Si olvidó su clave de acceso puede recuperarla clicando aquí y seleccionando la opción "He olvidado mi contraseña".
Suscribirse
Suscribirse a:

Revista Clínica Española

Comprar
Comprar acceso al artículo

Comprando el artículo el PDF del mismo podrá ser descargado

Comprar ahora
Contactar
Teléfono para suscripciones e incidencias
De lunes a viernes de 9h a 18h (GMT+1) excepto los meses de julio y agosto que será de 9 a 15h
Llamadas desde España
932 415 960
Llamadas desde fuera de España
+34 932 415 960
Email
Idiomas
Revista Clínica Española
Opciones de artículo
Herramientas
es en

¿Es usted profesional sanitario apto para prescribir o dispensar medicamentos?

Are you a health professional able to prescribe or dispense drugs?