Sugerencias
Compartir
Información de la revista
Vol. 204. Núm. 12.
Páginas 659-660 (Diciembre 2004)
Compartir
Descargar PDF
Más opciones de artículo
Vol. 204. Núm. 12.
Páginas 659-660 (Diciembre 2004)
Nódulos pulmonares múltiples asociados a derrame pleural izquierdo como forma de presentación de una tuberculosis pulmonar
Multiple pulmonary nodules associated with left pleural effusion as presentation of pulmonary tuberculosis
Visitas
1195
A. Hidalgo Nateraa, R. Hervás Gómezb, A. Sánchez-Muñozc, A. Eraso Sanzd, P J. González Gutiérreze, C. Iglesias Segarraf, E. Martínez Antoniob
a Servicios de Alergología. Hospital Universitario Doce de Octubre. Madrid. 
b Servicios de Medicina Interna. Hospital Universitario Doce de Octubre. Madrid. 
c Servicios de Oncología Médica. Hospital Universitario Doce de Octubre. Madrid. 
d Servicios de Alergología. Hospital Universitario Doce de Octubre. Madrid.  Servicios de Medicina Interna. Hospital Universitario Doce de Octubre. Madrid. 
e Servicio de Medicina Familiar y Comunitaria. Fundación de Alcorcón. Madrid.
f Servicios de Medicina Familiar y Comunitaria. Hospital Universitario Doce de Octubre.
Este artículo ha recibido
Información del artículo
Texto completo
Bibliografía
Descargar PDF
Estadísticas
Tablas (2)
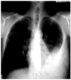
Fig. 1. Radiografía de tórax inicial con derrame pleural izquierdo e imágenes nodulares bilaterales.
Tablas
Fig. 2. Tomografía axial computarizada torácica en la que se observan el derrame pleural izquierdo y las imágenes nodulares múltiples bilaterales.
Tablas
Mostrar másMostrar menos

Artículo

Opciones para acceder a los textos completos de la publicación Revista Clínica Española
Socio
Si es usted socio de FESEMI siga los siguientes pasos:

Diríjase desde aquí a la web de la >>>FESEMI<<< e inicie sesión mediante el formulario que se encuentra en la barra superior, pulsando sobre el candado.

Una vez autentificado, en la misma web de FESEMI, en el menú superior, elija la opción deseada.

>>>FESEMI<<<

Suscriptor
Suscriptor de la revista

Si ya tiene sus datos de acceso, clique aquí.

Si olvidó su clave de acceso puede recuperarla clicando aquí y seleccionando la opción "He olvidado mi contraseña".
Suscribirse
Suscribirse a:

Revista Clínica Española

Comprar
Comprar acceso al artículo

Comprando el artículo el PDF del mismo podrá ser descargado

Comprar ahora
Contactar
Teléfono para suscripciones e incidencias
De lunes a viernes de 9h a 18h (GMT+1) excepto los meses de julio y agosto que será de 9 a 15h
Llamadas desde España
932 415 960
Llamadas desde fuera de España
+34 932 415 960
Email
Idiomas
Revista Clínica Española
Opciones de artículo
Herramientas