Sugerencias
Compartir
Información de la revista
Vol. 207. Núm. 11.
Páginas 577-578 (Diciembre 2007)
Compartir
Descargar PDF
Más opciones de artículo
Vol. 207. Núm. 11.
Páginas 577-578 (Diciembre 2007)
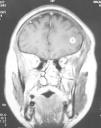
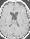
Meningitis con múltiples lesiones intracraneales
Meningitis with intracranial multiple lesions
Visitas
268
R. Fernández-Rodrígueza, P. Prieto Casalb, R. Gómez Fernándeza, J. Pérez-Cidb, M. Bustillo Casadoa
a Servicio de Medicina Interna-Enfermedades Infecciosas.
b Servicio de Radiología. Hospital Cristal. Complexo Hospitalario de Ourense. Ourense.
Este artículo ha recibido
Información del artículo
Texto completo
Bibliografía
Descargar PDF
Estadísticas
Figuras (2)

Artículo

Opciones para acceder a los textos completos de la publicación Revista Clínica Española
Socio
Si es usted socio de FESEMI siga los siguientes pasos:

Diríjase desde aquí a la web de la >>>FESEMI<<< e inicie sesión mediante el formulario que se encuentra en la barra superior, pulsando sobre el candado.

Una vez autentificado, en la misma web de FESEMI, en el menú superior, elija la opción deseada.

>>>FESEMI<<<

Suscriptor
Suscriptor de la revista

Si ya tiene sus datos de acceso, clique aquí.

Si olvidó su clave de acceso puede recuperarla clicando aquí y seleccionando la opción "He olvidado mi contraseña".
Suscribirse
Suscribirse a:

Revista Clínica Española

Comprar
Comprar acceso al artículo

Comprando el artículo el PDF del mismo podrá ser descargado

Comprar ahora
Contactar
Teléfono para suscripciones e incidencias
De lunes a viernes de 9h a 18h (GMT+1) excepto los meses de julio y agosto que será de 9 a 15h
Llamadas desde España
932 415 960
Llamadas desde fuera de España
+34 932 415 960
Email
Idiomas
Revista Clínica Española
Opciones de artículo
Herramientas