Información de la revista
Vol. 201. Núm. 11.
Páginas 669-670 (noviembre 2001)
Compartir
Descargar PDF
Más opciones de artículo
Vol. 201. Núm. 11.
Páginas 669-670 (noviembre 2001)
Fístula aorto-cava en aneurisma de aorta abdominal roto
Aorto-caval fistula in ruptured abdominal aorta aneurysm
Visitas
3
A. Pacheco Calventea, J. Ortega Mariscala, C. Bernal Bellidoa, J. Ponce Gonzáleza
a Servicio de Cirugía Cardiovascular. Hospital Universitario Virgen del Rocío. Sevilla.
Este artículo ha recibido
Información del artículo
Texto completo
Bibliografía
Descargar PDF
Estadísticas
Tablas (2)
Fig. 1. Eco-Doppler abdominal que muestra dilatación aneurismática de la aorta abdominal infrarrenal.
Tablas
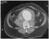
Fig. 2. Tomografía axial computarizada abdominal con contraste, donde se observa aneurima abdominal infrarrenal con trombo mural concéntrico y rotura con sangrado activo.
Tablas
Mostrar másMostrar menos
Figuras (1)

Artículo

Opciones para acceder a los textos completos de la publicación Revista Clínica Española
Socio
Si es usted socio de FESEMI siga los siguientes pasos:

Diríjase desde aquí a la web de la >>>FESEMI<<< e inicie sesión mediante el formulario que se encuentra en la barra superior, pulsando sobre el candado.

Una vez autentificado, en la misma web de FESEMI, en el menú superior, elija la opción deseada.

>>>FESEMI<<<

Suscriptor
Suscriptor de la revista

Si ya tiene sus datos de acceso, clique aquí.

Si olvidó su clave de acceso puede recuperarla clicando aquí y seleccionando la opción "He olvidado mi contraseña".
Suscribirse
Suscribirse a:

Revista Clínica Española

Comprar
Comprar acceso al artículo

Comprando el artículo el PDF del mismo podrá ser descargado

Comprar ahora
Contactar
Teléfono para suscripciones e incidencias
De lunes a viernes de 9h a 18h (GMT+1) excepto los meses de julio y agosto que será de 9 a 15h
Llamadas desde España
932 415 960
Llamadas desde fuera de España
+34 932 415 960
Email
Idiomas
Revista Clínica Española
Opciones de artículo
Herramientas
es en

¿Es usted profesional sanitario apto para prescribir o dispensar medicamentos?

Are you a health professional able to prescribe or dispense drugs?