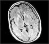
La enfermedad de Creutzfeldt-Jakob (ECJ) es una encefalopatía espongiforme producida por priones que provoca una demencia progresiva cuyas características neuropatológicas son la pérdida neuronal, la proliferación de células gliales y las vacuolas, lo que origina el aspecto de esponja. Se presentan dos casos detectados en el año 2005 en el Hospital Nuestra Señora del Prado. El primero es el de un hombre que comenzó con intensa astenia y cuadro constitucional, desarrollando una demencia en 4 meses; y el segundo caso es el de una mujer que comenzó con diplopía, cefalea y alteraciones de la marcha, desarrollando un deterioro neurológico con demencia en tres meses. En ambos casos la proteína 14.3.3 del líquido cefalorraquídeo fue positiva y el electroencefalograma mostró un patrón característico. Los estudios genéticos fueron negativos, y ambos presentaban polimorfismo del codón 129, siendo homocigotos para la metionina. Nos ha sorprendido la aparición de dos casos en menos de un año en Talavera de la Reina y nos ha hecho aumentar la vigilancia.
Creutzfeldt-Jakob disease is a prion spongiform encephalopathy that causes a rapidly progressive dementia whose neuropathological features are neuronal loss, proliferation of glial cells, and the presence of small vacuoles, which produces a spongiform appearance. Two cases detected in the year 2005 in the «Nuestra Señora del Prado» Hospital are presented. The first one is the case of a man who presented with intense malaise and weight loss, developing dementia in 4 months. The second one was a woman who presented with diplopia, headache and gait disturbances who developed severe neurological impairment with dementia in three months. In both cases the 14.3.3 protein in the cerebrospinal fluid was positive and the EEG showed a characteristic pattern. The genetic studies were negative and both were homozygous for methionine at codon 129. Given that the incidence of this disease in Castilla la Mancha is 0.6 cases/100000 inhabitants/year, the detection of 2 cases in less than a year in Talavera de la Reina (whose population is 150,000) surprised us, leading us to intensify surveillance.
Artículo
Diríjase desde aquí a la web de la >>>FESEMI<<< e inicie sesión mediante el formulario que se encuentra en la barra superior, pulsando sobre el candado.

Una vez autentificado, en la misma web de FESEMI, en el menú superior, elija la opción deseada.

>>>FESEMI<<<








